Our Office Technology: The Modern Approach To Endodontics
State of the Art Endondontic Technology
What makes our practice cutting edge:
- Treatment is performed using a high-resolution dental operating microscope.
- We use an advanced digital dental imaging system which minimizes radiation and improves diagnostic capabilities.
- We utilize Cone Beam CT technology for accurate 3D visualization of anatomy and diagnosis.
- Our sterilization equipment is monitored daily for 100% effectiveness.
- Our dental equipment uses a self-contained water supply and an in-house filtration system that delivers sterile water during all procedures.
Your situation and treatment requirements will be thoroughly explained with digital radiographs, intraoral photographs, and any other aids necessary so that you will fully understand your needs prior to beginning treatment. All materials are broadcast on large high-definition monitors to enhance your understanding of your dental condition. Your dentist has the ability to access information instantly, including radiographs and photographs, through our secure web-based system. As our patient, you have the option to complete registration materials from the convenience of your own home using our secure website.
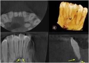
Cone Beam CT Scanner

Raymond is one of the only endodontists in Fulton County to utilize Cone Beam CT technology in his office. Our Kodak 8100 3D scanner allows us to take high-quality three-dimensional images of your condition, thereby providing you with more targeted, more precise, and more effective treatment. Cone Beam CT scans are only taken when necessary, and the benefits of them are innumerable:
- Three-dimensional Cone Beam CT scans allow Dr. Raymond to better detect, locate, and treat endodontic conditions, such as abscess formation, resorption, and complex anatomy.
- It utilizes 80% less radiation than a traditional x-ray, but yields far more usable information.
- Unlike a conventional dental x-ray, a Cone Beam CT scan can distinguish the differences among various tissues, such as bone, teeth, nerves, and soft tissue.
- The Cone Beam CT scan will help Dr. Raymond give you the most accurate diagnosis, prognosis, and treatment recommendations. These scans often yield information that helps you avoid unnecessary treatment.
- A Cone Beam CT scan is a cost-effective way of identifying a wide range of dental issues. The efficiency of a Cone Beam CT scan allows for less expensive and more efficient treatment.
Microscope
Dr. Raymond and his assistants use the microscope throughout every dental procedure. The microscope provides optimum visibility and illumination to give you the best treatment outcome possible. Microscopes are essential in providing endodontic treatment at the highest level, and they have numerous clinical benefits:
- The microscope allows for the use of smaller instruments and more precision during treatment.
- Conservation of tooth structure is the key to the best, longest-lasting outcomes.
- The increased magnification of the microscope allows Dr. Raymond to minimize the size of the operative site, thereby minimizing healing time.
- The microscope allows Dr. Raymond to identify tooth canals and locate problems such as cracks and root fractures.
- The use of the microscope increases efficiency and often saves you from additional and more complex procedures.
Digital Photography

Dr. Raymond will take high resolution digital photographs through the microscope during your consultation and treatment to help explain his findings, document his work, and communicate with your general dentist. These photographs allow you to better understand your dental needs and create a dialogue. Dr. Raymond believes that your needs and your understanding of those needs are the foundation of a beneficial doctor-patient relationship. The high resolution photographs are also shared with your general dentist allowing for more accurate communication, increased efficiency, and a better outcome for you.
Paperless Office
We have eliminated paper from our office making it completely digital, more efficient, and environmentally friendly. This state-of-the-art computer software allows you to complete registration materials from the convenience of your own home via our secure, fully encrypted website. It also allows Dr. Raymond to communicate with you and your general dentist in a secure and efficient manner.


